INTERESTING CASES

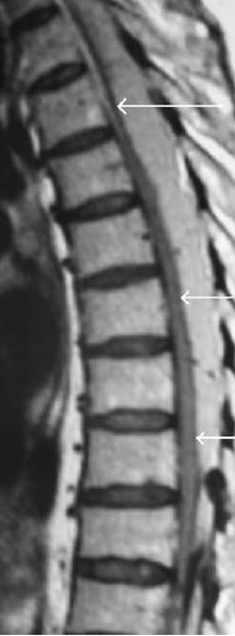
- epidural haematoma after SCS implant

epidural haematoma   click the image to see the case history and references

 


 

- DBS of the internal capsula for poststroke pain and spasticity

click the image to see the case history


FOCAL MIOKIMIA AND PAROXYSTIC PAIN OF UPPER LIMB

click the image to see the case history


click the image to download the article


DBS and  VNS working together