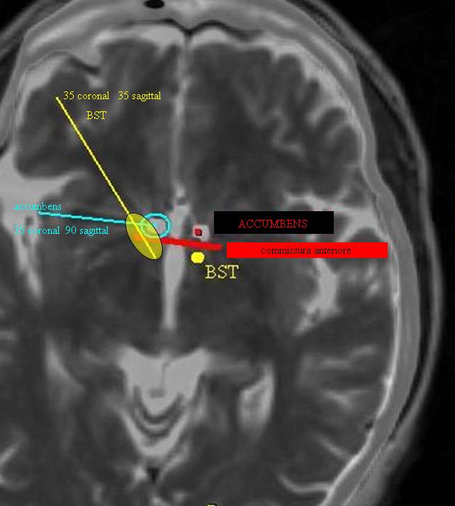
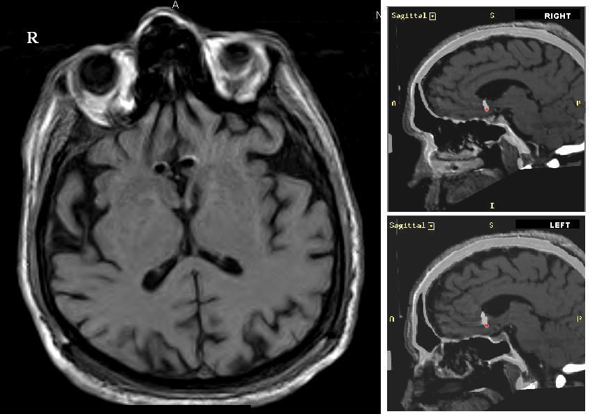
accumbens

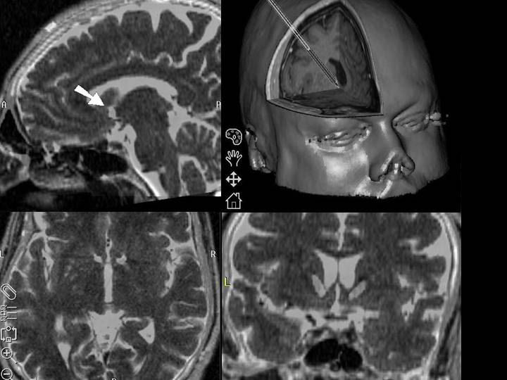
ocd